New partnership fast tracks home pathology tests
Clinical Labs and Silverchain team up to offer priority pathology tests at home.
Winter and vitamin D (NSW)
By Dr David Deam Published June 2023As the weather gets colder and the amount of sunlight decreases as we head into winter, it is a good time to consider if vitamin D testing may b...
Winter and vitamin D (WA)
By Dr David Deam Published June 2023As the weather gets colder and the amount of sunlight decreases as we head into winter, it is a good time to consider if vitamin D testing may b...
Primary aldosteronism: A collaborative approach for diagnosis in hypertensive patients (National)
By Dr Tony Mak Published June 2022 Primary aldosteronism (PA), also known as Conn’s syndrome, is autonomous secretion of aldosterone by a tumour or hyperplasia of the adrenal gland...
Aspect Liquid Biopsy
Associate Professor Mirette Saad outlines how liquid biopsy using ctDNA enables non-invasive cancer monitoring and guides personalised treatment decisions.
Somatic Mutation in Solid Tumours
Associate Professor Mirette Saad explains how somatic mutation testing in solid tumours guides targeted therapy and improves cancer treatment outcomes.
EndoPredict® for breast cancer treatment
Associate Professor Mirette Saad outlines how EndoPredict supports personalised treatment decisions in ER positive, HER2 negative breast cancer.
Genetic Carrier Screening in General Practice
Associate Professor Mirette Saad explains why Medicare-funded genetic carrier screening for CF, SMA and FXS is essential for informed pregnancy planning.
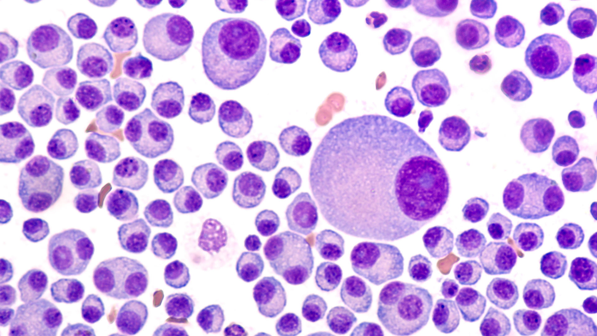
Signs & Symptoms of Multiple Myeloma
This article outlines the key blood tests for early detection of multiple myeloma to enable timely diagnosis and prevent serious complications.
Strep A in Children
Dr Emma Goeman highlights the rising threat of invasive Strep A infections in children, the clinical impact and the importance of early recognition.
Telehealth pathology services
Published September 2021 Clinical Labs WA are pleased to support your Telehealth consultations to make sure these patients can access pathology services to complement your care.
Non-Invasive Prenatal Screening
Associate Professor Mirette Saad provides clinical insights on the importance of non-invasive prenatal screening for 22q11.2 deletion (DiGeorge syndrome), the second most common cause of developmental delay after Down syndrome.
Targeted vs Genome-wide NIPT
Associate Professor Mirette Saad compares targeted and genome-wide NIPT approaches, outlining benefits, limitations and clinical considerations for prenatal screening.
Bulk-Billed Genetic Carrier Screening
Associate Professor Mirette Saad provides details on routine bulk-billed genetic carrier screening for CF, SMA, and FXS, including Medicare eligibility criteria and result interpretation.
May 2018 Updates From The Lab (WA)
Published May 2018 Shae Seymour Ms. Shae Seymour has recently joined Clinical Labs in the role of WA Chief Executive Officer.
May 2018 Updates From The Lab (VIC)
Published May 2018 In the past three months we have been very fortunate to welcome five excellent Victoria-based pathologists to our organisation.
May 2018 Updates From The Lab (NT/SA)
Published May 2018 Australian Clinical Labs offers South Australia the most technologically advanced pathology laboratory in the state.
May 2018 Updates From The Lab (NSW)
Published May 2018 Northern Beaches Hospital Clinical Labs will anchor a new laboratory in the Northern Beaches Hospital (NBH), New South Wales.
Multiple Myeloma & Free Light Chains
Clinical guidelines recommended ordering both sFLC and EPG for investigations to rule out multiple myeloma, as 1 in 8 myeloma patients may be missed if only sFLC is ordered.
European Congress of Clinical Microbiology and Infectious Diseases
Head of Molecular and Infectious Diseases at Clayton laboratory, presented at the 27th European Congress of Clinical Microbiology and Infectious Diseases.
Dec 2018 Updates from the Lab
Decommissioned Clinical Labs WA lab equipment finds new home in Madagascar!
COVID-19 Update for Western Australia
Published September 2020 This year, the restrictions put in place to stop the spread of COVID-19 quickly forced us to change the way healthcare services are provided in Australia.
COVID-19 Update for Victoria
Published September 2020 This year, the restrictions put in place to stop the spread of COVID-19 quickly forced us to change the way healthcare services are provided in Australia.
COVID-19 Update for South Australia
Published September 2020 This year, the restrictions put in place to stop the spread of COVID-19 quickly forced us to change the way healthcare services are provided in Australia.
Inflammatory Bowel Disease
Associate Professor Louise Smyth examines the evolving epidemiology and diagnostic challenges of inflammatory bowel disease to improve early detection and patient outcomes.
COVID-19 Update for New South Wales
Published September 2020 This year, the restrictions put in place to stop the spread of COVID-19 quickly forced us to change the way healthcare services are provided in Australia.
Clinical Labs is now Offering COVID-19 Testing for Travellers (WA)
Published December 2020 Many countries are requesting that international travellers complete a COVID-19 PCR and/or Antibody Test before boarding their flight.
Clinical Labs is now Offering COVID-19 Testing for Travellers (VIC)
Published December 2020 Many countries are requesting that international travellers complete a COVID-19 PCR and/or Antibody Test before boarding their flight.
Clinical Labs is now Offering COVID-19 Testing for Travellers (SA)
Published December 2020 Many countries are requesting that international travellers complete a COVID-19 PCR and/or Antibody Test before boarding their flight.
Clinical Labs enters ACT market and opens new Lab in Belconnen
Published December 2019 On 2nd September 2019, we were extremely proud to open the doors to our new state-of-the-art laboratory in Belconnen, ACT.
Clinical Labs 2019 Highlights
Published December 2019 We have had a busy and productive year at Clinical Labs, working on major projects to improve and grow the services we offer you and provide to your patients.
Clinical Labs 2019 Highlights (WA)
Published December 2019 We have had a busy and productive year at Clinical Labs, working on major projects to improve and grow the services we offer you and provide to your patients.
The end of winter is the ideal time to test patients for vitamin D deficiency (NSW)
By Dr Wessel Jenner Published June 2021 Vitamin D levels fluctuate significantly depending on the season.
The end of winter is the ideal time to test patients for vitamin D deficiency (SA)
By Dr Wessel Jenner Published June 2021 Vitamin D levels fluctuate significantly depending on the season.
The end of winter is the ideal time to test patients for vitamin D deficiency
By Dr Wessel Jenner Published June 2021 Vitamin D levels fluctuate significantly depending on the season.
The end of winter is the ideal time to test patients for vitamin D deficiency (WA)
By Dr Wessel Jenner Published June 2021 Vitamin D levels fluctuate significantly depending on the season.
Primary aldosteronism: A collaborative approach for diagnosis in hypertensive patients (NSW)
By Dr Tony Mak Published June 2022 Primary aldosteronism (PA), also known as Conn’s syndrome, is autonomous secretion of aldosterone by a tumour or hyperplasia of the adrenal gland...
Introducing Liquid Biopsy: The Revolutionary Aspect of Molecular Oncology
by Associate Professor Mirette Saad
Syphilis: An old enemy returns
Dr Linda Dreyer highlights the rising rates of syphilis and congenital infections and stresses the importance of routine antenatal screening and timely treatment to protect maternal and neonatal health.
Rising STI Rates Post-COVID
Our expert pathologists discuss rising STI rates, emerging infections, and the critical need for testing, detection and treatment to control transmission.
Investigating Fatigue in Women
Associate Professor Chris Barnes explores modern approaches to diagnosing fatigue in women, offering clinical recommendations to improve patient outcomes.
Cardiac Testing and Arrhythmias in General Practice
In this article interventional cardiologist Dr Christopher Goods discusses the effectiveness of Holter monitors for patients presenting with heart irregularities.
New diabetes post COVID
Dr David Deam discusses the link between COVID-19 and diabetes, highlighting increased risks for existing patients and the potential for new type 2 diabetes cases post-infection.
Coeliac Disease
Emeritus Professor Ban-Hock Toh outlines the importance of accurate diagnosis in coeliac disease to prevent serious complications and improve patient outcomes.
Assessing Allergy in Clinical Practice
Associate Professor Louise Smyth explains the clinical significance of allergy, immune responses and the role of accurate testing in managing allergic conditions.
Bulk-Billed Genetic Carrier Screening
This change is thanks to Rachael and Jonathan Casella, who advocated for carrier screening to be routine and free for all prospective parents.
STI Case Studies
Explore Clinical Labs case studies on systemic manifestations of STIs, highlighting atypical presentations of gonorrhoea and syphilis and the importance of early detection in general practice.
Understanding BNP Testing
Dr David Deam highlights the clinical utility of a new Medicare item number for BNP testing for the exclusion of a diagnosis of heart failure, which broadens the range of clinical situations in which the test can be ordered.
Clinicians’ Guide to Pharmacogenetic Testing
Associate Professor Mirette Saad explores the clinical utility of pharmacogenetic testing for personalised patient care, particularly in the areas of mental health, pain management, cardiology, and oncology.
Pharmacogenetic Testing at Clinical Labs - List of Genes Tested and Examples of Drugs Metabolised
Published December 2024 Selection guide of genes tested based on medications of use.
Launch of Melaseq™ Melanoma Genomic Testing
Australian Clinical Labs and Geneseq Biosciences launch Melaseq™, a world-first genomic test to improve early and accurate melanoma diagnosis.
Mycoplasma genitalium
Dr Stella Pendle provides detailed guidance on testing for Mycoplasma genitalium, an increasingly challenging STI to treat due to rising global antimicrobial resistance.
Gestational Diabetes
Dr Phoebe Stanford discusses the growing prevalence of gestational diabetes, the recently updated ADIPS diagnostic criteria and a recommended approach to screening.
Reframing Bacterial Vaginosis
Dr Linda Dreyer explores insightful 2025 research that reframes Bacterial Vaginosis (BV) as a sexually associated condition, highlighting how partner treatment can significantly reduce recurrence rates.
ANCA-associated vasculitis
By Associate Professor Louise Smyth Published December 2022 History In Europe in 1973, in a study of neutrophil-specific antibodies by indirect immunofluorescence (IIF) in patients...
Acquisition of Medlab Pathology by Australian Clinical Labs to Further Strengthen National Scale
ACL today announced that it had entered into a binding agreement to purchase Medlab Pathology (Medlab).
The true impact of Australia’s COVID-19 lockdowns on critical health diagnoses
As one of Australia’s largest pathology providers, Clinical Labs was amongst the first to witness pathology numbers dr...
Biopsy | [Best Practice]
The clinical information and biopsy type that clinicians provide to pathologists can be critical in ensuring a correct diagnosis in skin biopsies.
The true impact of Australia’s COVID-19 lockdowns on critical health diagnoses (NSW)
By Dr David Deam and Dr Simon Nazaretian Published March 2021 As one of Australia’s largest pathology providers, Clinical Labs was amongst the first to witness pathology numbers dr...
Urea Breath Testing in General Practice - NAT
14C-Urea Breath Testing is an accurate, safe and quick way to diagnose H. pylori.
Diagnosing Helicobacter pylori
Dr Phoebe Stanford and Dr Stella Pendle explore the clinical utility of non-invasive tests for diagnosing H. pylori, the bacterium responsible for over 60% of gastric ulcers.
Female Reproductive Hormones and Fertility Testing
By Associate Professor Mirette Saad. This review article discusses female reproductive hormones and their role in fertility testing.
HLA Genotyping for Coeliac Disease
Associate Professor Mirette Saad outlines the genetic disposition of CD and provides guidance on the clinical use of HLA genotyping.
Long COVID
Associate Professor Chris Barnes outlines laboratory investigations to support diagnosis and management of patients with suspected Long COVID.
QuantiFERON-TB Gold
Associate Professor Owen Harris explains the use of QuantiFERON-TB Gold assay for diagnosing latent tuberculosis and interpreting results.
Iron Deficiency in Women
Associate Professor Chris Barnes discusses the prevalence of iron deficiency in women, its symptoms, diagnostic strategies and effective treatment options.
Allergen-Specific IgE Testing
Associate Professor Louise Smyth shares expert guidance on the clinical utility of allergen-specific IgE testing to confirm suspected allergy diagnoses.
Thyroid Function Test Interpretation
Dr Phoebe Stanford explains how to interpret thyroid function tests accurately, addressing common pitfalls and interferences to improve diagnostic confidence.
Iron Infusions and Hypophosphatemia
Associate Professor Chris Barnes discusses the prevalence of iron deficiency anaemia, treatment options including iron infusions and managing hypophosphatemia risk.
New MBS Items for PSA Tests
Dr David Deam outlines MBS changes for PSA testing, including updated frequency and high-risk patient criteria.
Neutropenia in General Practice
Associate Professor Chris Barnes explains the causes, clinical significance and management of neutropenia, including benign ethnic neutropenia and severe cases.
Urgent Result Notifications
Clinical Labs provides SMS alerts for high-risk patient results, guiding clinicians to securely access details through the eResults portal.
Calprotectin & IBD
In this clinical article, Associate Professor Louise Smyth discusses the role of calprotectin testing in the diagnosis and management of IBD.
Urine Testing in Asymptomatic Patients
From 1 July 2025, the Medicare Benefits Schedule (MBS) item for urine testing (69333) will be amended.
Vitamin B12 Investigations
Following the July 2025 MBS update, Dr David Deam outlines a new diagnostic pathway for vitamin B12 testing, emphasising clinical vigilance for timely and accurate diagnosis.
Early-Onset Pre-eclampsia
Associate Professor Mirette Saad outlines current guidelines for pre-term pre-eclampsia screening and the clinical utility of Placental Growth Factor (PlGF) testing.
Trichomonas vaginalis
Dr Sudha Pottumarthy-Boddu discusses the symptoms, diagnosis and treatment of Trichomonas vaginalis, the most common curable non-viral STI worldwide.
Managing Vitamin D Deficiency
Dr Phoebe Stanford highlights the role of vitamin D, health risks of deficiency, and guidance on MBS testing and result interpretation.
RSV Under the Microscope
Dr Eric Chu explores the rising burden of RSV in Australia, highlighting key epidemiological trends, age groups at greatest risk, and the latest vaccine recommendations for infants, pregnant women and older adults.
Systemic Lupus Erythematosus
Assoc. Prof. Louise Smyth guides clinicians through the evolution of lupus testing, exploring the key advancements that have shaped its complex diagnostic pathway.
Annual Blood Tests for Men
Assoc. Prof. Chris Barnes outlines key annual blood tests for men and addresses common barriers to proactive health management.
Optimising Cardiac Care
Associate Professor Harry G Mond and Clinical Labs chemical pathologist Dr David Deam explore key investigative tests that GPs can order for patients presenting with cardiac symptoms in general practice.
Accurate diagnosis of basal and squamous cell carcinomas in general practice
The diagnosis of the two of the most common cancers in Australia: squamous cell carcinoma (SCC) and basal cell carcinoma (BCC)
A new more sensitive Troponin I test is available
Our new Troponin I assay offers a ten fold increase in test functional sensitivity and enables the detection of smaller areas of necrosis.
Vitamin B12: Testing for deficiency
By Dr David Deam Published December 2021 Vitamin B12 is an important vitamin and deficiencies can be seen despite the availability of nutritious food.
Measles Update for Victorian Clinicians
Follow updated measles testing and specimen collection guidelines to prevent delays and ensure accurate PCR and serology results during Victoria’s outbreak.
Mpox: Testing, diagnosis and clinical management
Mpox: Testing, diagnosis and clinical management